+375 29 140 69 69 A1
+375 29 103 69 69 A1
+375 33 603 06 03 MTS

Г.Минск, ул.Воронянского 40

Пн-Пт с 8:00 до 21:00
Сб-Вс с 9:00 до 21:00

+375 29 140 69 69 A1
+375 29 103 69 69 A1
+375 33 603 0 603 MTS

Пн-Пт с 8:00 до 21:00
Сб-Вс с 9:00 до 21:00

Г.Минск, ул.Воронянского 40

Г.Минск, ул.Воронянского 40

Наши работы

34046582-3892-4d87-b1b6-530aa8ccff92222

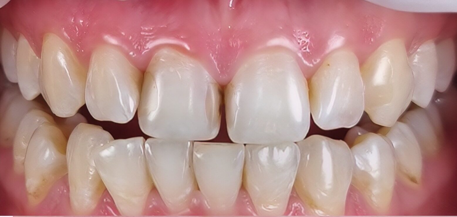
Тотальная реабилитация зубочелюстной системы и замена композитных реставраций. Высота и симметрия нижней трети лица восстановлена.

primerprimer_2

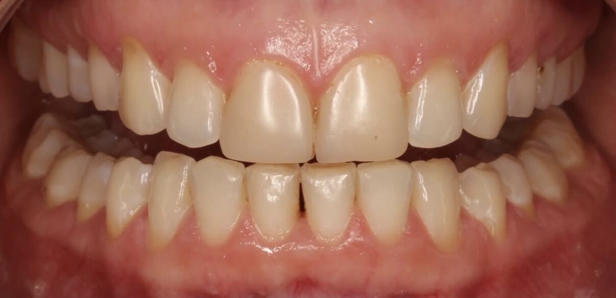
Провели профессиональную гигиену полости рта. Вылечили кариес зубов с заменой реставраций и закрытием диастемы композиционным материалом.

ScreenshotScreenshot

Пример тотальной реабилитации ВНЧС. После полной диагностики и изучения данных о состоянии ВНУС была спланирована и реализована сплинт терапия. Результат был закреплен и стабилизирован 28 керамическим реставрациями.

ScreenshotScreenshot

Реабилитация клинического случая с генерализованной стираемостью и дисфункцией ВНЧС, имплантация и протезирование 1.6 и 2.6 дожидается созревания костной ткани после синус-лифтинга

ScreenshotScreenshot

Тотальная реабилитация зубочелюстной системы и замена композитных реставраций. Высота и симметрия нижней трети лица восстановлена.

Оставьте заявку

Укажите имя, желаемый канал для коммуникации и номер. Если Вы хотите использовать для связи только электронную почту — напишите адрес в соответствующем поле






    Прокрутить вверх